Sanità - 22 giugno 2020, 11:37
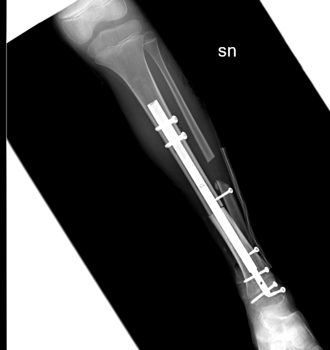
Prima volta al mondo: una bimba di 9 anni ha una nuova caviglia grazie all'osso di un donatore e un chiodo allungabile. E tornerà a camminare
Al Regina Margherita ricostruita l'articolazione a una piccola paziente affetta da una rarissima forma di tumore alle ossa
Questo contenuto è riservato agli abbonati
Non sei ancora abbonato? Clicca qui






