In Breve
sabato 08 novembre
giovedì 06 novembre
mercoledì 05 novembre
martedì 04 novembre
lunedì 03 novembre
Che tempo fa
Rubriche
Accadeva un anno fa
Cultura e spettacoli
Nichelino-Stupinigi-Vinovo
Sanità | 22 giugno 2020, 11:37
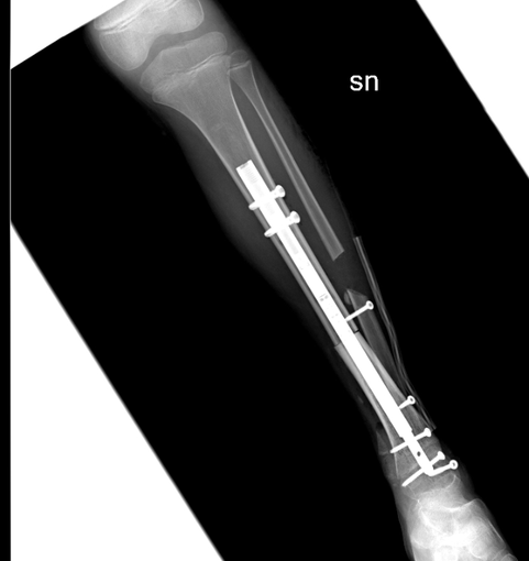
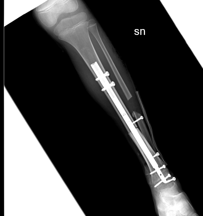
Prima volta al mondo: una bimba di 9 anni ha una nuova caviglia grazie all'osso di un donatore e un chiodo allungabile. E tornerà a camminare
Al Regina Margherita ricostruita l'articolazione a una piccola paziente affetta da una rarissima forma di tumore alle ossa
Questo contenuto è riservato agli abbonati
Non sei ancora abbonato? Clicca qui















